Teeth Whitening
Cosmetic Dentistry

Teeth Whitening

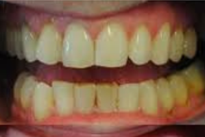
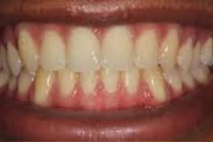
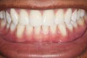
Brighten your smile with safe and effective teeth whitening treatments that remove stains, restore natural color, and boost your confidence.

Ideal for: Stained, yellowed, or discolored teeth
Comfort: Quick and painless procedure
Sessions: Usually 1–2 visits
Aftercare: Avoid staining foods and maintain good oral hygiene

Definition

Teeth Whitening is a cosmetic dental procedure that lightens teeth by removing stains and discoloration. It is one of the most popular treatments for enhancing the brightness of your smile, using safe bleaching agents or advanced laser technology.

When is it Needed?

Treatment Process (Simple Steps)

Typical Duration: 1–2 visits, 30–60 minutes each.

Benefits

Possible Side Effects

Before & After Care

Frequently Asked Questions

How long do teeth whitening results last? Results typically last 6–12 months, depending on lifestyle habits.
Is teeth whitening safe? Yes, professional whitening is safe and supervised by a dentist.
Does whitening damage teeth? No, it only removes stains and does not harm enamel when done professionally.
Can everyone get teeth whitening? Most people can, but it may not work for crowns, veneers, or very deep stains.
Is the procedure painful? No, it’s generally painless. Some may experience temporary sensitivity.