Tooth-Colored Fillings
Restorative Dentistry

Tooth-Colored Fillings

Restore your teeth with natural-looking tooth-colored fillings that blend seamlessly, protect against decay, and enhance your smile.

Ideal for: Cavities, cracks, and small fractures
Comfort: Painless with local anesthesia
Sessions: Completed in a single visit
Aftercare: Good oral hygiene ensures long-lasting results

Definition

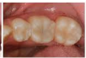
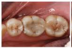
Tooth-Colored Fillings, also called composite resin fillings, are dental restorations designed to match the natural shade of your teeth. They are used to repair decayed, cracked, or chipped teeth, while preserving a natural and aesthetic look.

When is it Needed?

Treatment Process (Simple Steps)

Typical Duration: 20–45 minutes per tooth.

Benefits

Possible Side Effects

Before & After Care

Frequently Asked Questions

How long do tooth-colored fillings last? They usually last 7–10 years or longer with proper care.
Are tooth-colored fillings safe? Yes, they are mercury-free and safe for long-term use.
Will the filling be visible? No, the filling matches your tooth color and blends naturally.
Is the procedure painful? No, it is done under local anesthesia and is pain-free.
Can old silver fillings be replaced? Yes, old metal fillings can be replaced with tooth-colored ones for a better appearance.