Ceramic Crowns & Caps
Restorative Dentistry

Ceramic Crowns & Caps

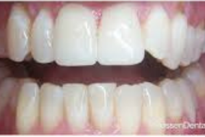
A durable and natural-looking solution to restore damaged or weakened teeth. Ceramic crowns and caps protect the tooth, improve function, and enhance your smile’s appearance.

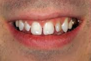
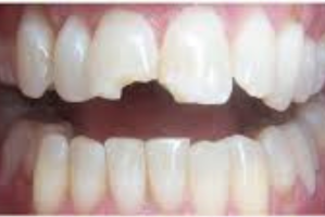
Ideal for: Broken, decayed, root canal treated, or misshaped teeth
Comfort: Painless procedure with local anesthesia
Sessions: 2 visits (preparation & final placement)
Aftercare: Maintain hygiene and regular dental check-ups

Definition

Ceramic Crowns & Caps are tooth-shaped coverings placed over a damaged or treated tooth. Made from high-quality ceramic, they provide strength, restore function, and blend naturally with your existing teeth.

Symptoms / When is it Needed?

Treatment Process (Simple Steps)

Typical Duration: 2 visits across 1–2 weeks.

Benefits

Possible Side Effects

Before & After Care

Frequently Asked Questions

How long do ceramic crowns last? With proper care, ceramic crowns can last 10–15 years or longer.
Do ceramic crowns look natural? Yes. They are color-matched to blend with your natural teeth.
Is the procedure painful? No. It’s done under local anesthesia, and discomfort is minimal.
Can crowns break? They are strong but can chip if exposed to extreme force (like biting ice).
Do I need special care? No special care required, just maintain regular oral hygiene and check-ups.