Dental Implants
Prosthetic Dentistry

Dental Implants

A permanent solution for missing teeth. Dental implants act as artificial roots that support crowns, bridges, or dentures, giving you natural function and appearance.

Ideal for: Single or multiple missing teeth, full-mouth restoration
Comfort: Performed under local anesthesia
Sessions: 2–3 visits over a few months
Aftercare: Regular cleaning and check-ups essential

Definition

Dental Implants are titanium posts placed into the jawbone to replace missing tooth roots. They fuse with the bone and provide a stable foundation for crowns, bridges, or dentures — restoring chewing ability and aesthetics.

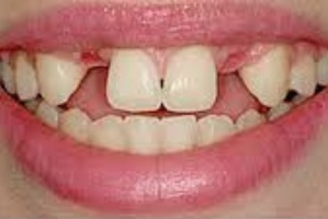
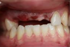
Symptoms / When is it Needed?

Treatment Process (Simple Steps)

Typical Duration: 2–3 visits across 2–6 months (depending on healing and case).

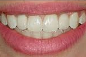
Benefits

Possible Side Effects

Before & After Care

Frequently Asked Questions

Are dental implants painful? No, the procedure is done under anesthesia. Mild soreness may occur for a few days.
How long do dental implants last? With proper care, they can last 15–25 years or even a lifetime.
Can anyone get implants? Most healthy adults can. Adequate bone density and healthy gums are required.
How soon can I use the implant? After healing and integration (2–6 months), the crown is placed for full function.
Are implants better than bridges? Yes. Implants don’t damage nearby teeth and prevent bone loss, unlike traditional bridges.