Dentures
Prosthetic Dentistry

Dentures

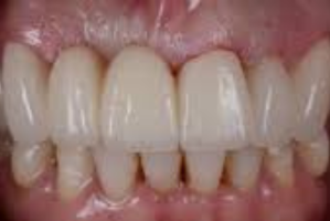
A removable and cost-effective solution for replacing missing teeth. Dentures restore your smile, improve chewing ability, and support facial structure for a natural look.

Ideal for: Multiple missing teeth, full arch replacement
Comfort: Custom-made for a better fit
Sessions: Usually 2–3 visits
Aftercare: Regular cleaning and periodic adjustments

Definition

Dentures are removable appliances designed to replace missing teeth and surrounding tissues. They help restore function, appearance, and oral health, and are custom-made to fit comfortably in your mouth.

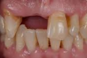
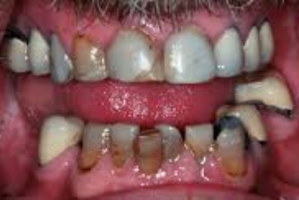
Symptoms / When is it Needed?

Treatment Process (Simple Steps)

Typical Duration: 2–3 visits across a few weeks.

Benefits

Possible Side Effects

Before & After Care

Frequently Asked Questions

Are dentures uncomfortable? Modern dentures are designed for comfort. Some initial adjustment is normal.
Can I eat normally with dentures? Yes. With practice, dentures allow you to chew most foods comfortably.
How long do dentures last? Typically 5–7 years. They may need replacement due to natural changes in the mouth.
Do dentures look natural? Yes. They are custom-made to match your gums and teeth for a natural look.
What if my dentures feel loose? Visit your dentist. Adjustments or relining may be required for better fit.